ガミースマイル治療の費用【完全ガイド】。治療法別の費用相場と歯科医院選びの注意点
「笑ったときの歯茎が気になる…」ガミースマイル治療を考え始めた方が知りたい「費用」の全てを解説します。
- 治療法ごとの詳しい費用相場
- 医院によって値段が違う理由
- 総額で比較する際の注意点
- 医療費控除やローンで負担を抑える方法
この記事を読めば、ご自身に合う治療法と費用の目安がわかります。
Contents
ガミースマイル治療法別の費用相場と特徴
ガミースマイル治療と一口に言っても、その原因や症状の程度によって、治療法はさまざまです。当然、どの治療法を選択するかで費用も大きく変わってきます。
ここでは、代表的な治療法の特徴と、それぞれの費用相場について分かりやすくご紹介します。ご自身の症状や予算感と照らし合わせながら、どの方法が合っていそうか見ていきましょう。
ガミースマイル治療は保険適用? 自由診療になる理由と費用感

まず、多くの方が疑問に思われる「保険適用の可否」についてお話しします。 結論から申し上げますと、ガミースマイルの治療は、ほとんどの場合、保険適用外の「自由診療」となります。
日本の健康保険制度は、病気の治療や機能の回復を目的とした医療行為に対して適用されるものです。例えば、虫歯を削って詰めたり、歯周病の治療をしたりといったケースです。
一方で、ガミースマイルの治療は、「笑ったときの見た目をより美しくしたい」という審美的なお悩みを改善することが主な目的です。
これは病気の治療とは異なるため、健康保険が適用されず、治療費は全額自己負担となるのが原則です。
ただし、例外として、ガミースマイルの原因が「上顎骨(うわあごの骨)の著しい変形」などであり、それが噛み合わせや発音といった機能的な問題を引き起こしていると診断された場合(例:顎変形症)は、外科的な手術に保険が適用されるケースもあります。 しかし、これは非常に稀なケースです。一般的にガミースマイルの治療を検討される方の多くは自由診療となるため、費用感をしっかり把握しておくことが大切です。
ボトックス注射(1万円~5万円目安) 手軽さと持続期間

ガミースマイル治療の中で、最も手軽に試すことができるのが「ボトックス注射(ボツリヌス治療)」です。
これは、上唇を引き上げる筋肉(上唇挙筋)にボトックス(ボツリヌス・トキシン)を注射し、筋肉の働きを一時的に弱めることで、笑ったときに上唇が上がりすぎるのを抑える治療法です。
最大のメリットは、手術が不要で、注射のみで完了する手軽さです。施術時間は10分程度と短く、術後の腫れや痛みといったダウンタイムもほとんどありません。そのため、まずはガミースマイルが改善された状態を体験してみたいという方や、手術に抵抗がある方、近々大事なイベント(結婚式や写真撮影など)を控えている方にも選ばれています。
費用の目安は1回あたり1万円~5万円程度と、他の治療法に比べて安価です。 ただし、ボトックスの効果は永続的ではありません。個人差はありますが、効果の持続期間は通常3~6ヶ月程度です。
そのため、効果を維持するためには定期的に注射を続ける必要があります。手軽な反面、根本的な解決にはならず、長期的に見るとトータルの費用がかさんでしまう可能性がある点は理解しておきましょう。
歯茎を切る手術(歯冠長延長術 5万円~10万円目安)とダウンタイム


ガミースマイルの原因が、歯茎が歯に覆いかぶさっていること(歯が短いわけではなく、歯茎に隠れている)にある場合、「歯冠長延長術(しんかんちょうえんちょうじゅつ)」という治療法が適応されます。 これは、局所麻酔をした上で、歯茎の余分な部分を電気メスやレーザーで切除し、本来の歯の長さを露出させる手術です。
場合によっては、歯茎のラインを整えるために、「歯槽骨整形術(しそうこつせいけいじゅつ)」という治療法で歯槽骨(しそうこつ)という歯を支える骨を少し削ることもあります。
この治療法のメリットは、ボトックス注射と違って効果が永続的である点です(後戻りする可能性はゼロではありませんが)。歯と歯茎のバランスが整い、スッキリとした印象の笑顔になります。
費用は、切除する範囲(歯の本数)にもよりますが、1本あたり5万円~10万円程度が相場です。
デメリットとしては、手術であるため、術後のダウンタイムが挙げられます。術後1~2週間程度は、腫れや痛み、歯茎からの出血、違和感などが生じることがあります。食事や歯磨きにも一時的に制限が出ることがあるため、術後のスケジュールも考慮しておく必要があります。また、歯の根元が露出することで、一時的に知覚過敏の症状が出やすくなる可能性もあります。
逆ガミースマイルのお悩みご相談ください
LINE友だち登録で無料相談医学的にきちんと治そうガミースマイル
唇の位置を調整する手術(上唇粘膜切除術 20万円~30万円目安)と術後の注意点

上唇の筋肉(上唇挙筋)の力が強すぎることが原因で、笑ったときに唇がめくれ上がるように上がってしまうタイプのガミースマイルには、「上唇粘膜切除術(じょうしんねんまくせつじょじゅつ)」が有効です。
これは、上唇の内側にある粘膜(お口の中の粘膜)と、歯茎の境目あたりの粘膜を一部切除し、縫い合わせることで、上唇が物理的に上がりすぎないように調整する手術です。 メリットは、唇の内側の手術であるため、外から見える場所に傷跡が一切残らないことです。
また、筋肉の力を弱めるボトックスと異なり、物理的に唇の可動域を制限するため、効果は半永久的で後戻りのリスクが低い点も大きな魅力です。 費用の目安は20万円~30万円程度です。
ただし、術後の注意点として、ダウンタイムが比較的長めに出る可能性があります。術後1~2週間は、上唇の腫れやむくみ、突っ張った感じが強く出ることが多いです。食事や会話がしにくく感じる場合もあります。また、縫合した糸が溶けるまで、あるいは抜糸するまでの期間、違和感が続くこともあります。根本的な改善が期待できる分、術後のケアや経過についてもしっかり理解しておくことが重要です。
ガミースマイルのお悩みご相談ください
LINE友だち登録で無料診断医学的にきちんと治そうガミースマイル
歯並びも整える矯正治療(50万円~100万円以上目安)とかかる期間


ガミースマイルの原因が、単に歯茎や唇の問題だけではなく、「歯並び」や「噛み合わせ」にある場合、矯正治療が根本的な解決につながることがあります。
例えば、上の前歯が極端に前に傾いている「出っ歯(上顎前突)」や、噛み合わせが深すぎる「過蓋咬合(かがいこうごう)」の場合、笑ったときに歯茎が見えやすくなります。
矯正治療では、ワイヤー矯正やマウスピース矯正といった装置を使い、歯を適切な位置に動かしていきます。特にガミースマイルの改善を目的とする場合は、アンカースクリュー(小さなネジ)を歯茎に埋め込み、それを固定源にして上の前歯を歯茎の方向(上方)へ引き上げる「圧下(あっか)」という動きを行うことが多いです。 メリットは、ガミースマイルの改善と同時に、歯並びや噛み合わせといった機能的な問題もトータルで改善できる点です。
費用は、治療の範囲や使用する装置によって幅がありますが、50万円~100万円以上が目安となります。 デメリットは、治療期間が長くかかることです。症状にもよりますが、通常1年半~3年程度の期間が必要です。また、治療中は装置の違和感や、定期的な通院が必要となります。
逆ガミースマイルのお悩みご相談ください
LINE友だち登録で無料相談医学的にきちんと治そうガミースマイル
【重度の場合】上顎骨切り手術(100万円~300万円目安)とは

ガミースマイルの原因が、歯や歯茎、唇ではなく、「骨格」そのものにある場合、つまり上顎骨(うわあごの骨)自体が縦に長すぎたり、前方に突出しすぎている場合は、前述した治療法だけでは十分な改善が見込めないことがあります。
このような重度のケースで適応されるのが、「上顎骨切り手術(じょうがくこつきりしゅじゅつ)」です。これは、全身麻酔のもと、上顎骨の一部を水平に切除し、骨を適切な位置(上方や後方)に移動させてプレートなどで固定する、大掛かりな外科手術です。
多くの場合、術前・術後に矯正治療を併用する「外科矯正治療」として行われます。 メリットは、骨格レベルで問題を根本的に解決できるため、劇的な顔立ちの変化とガミースマイルの改善が期待できることです。 費用は非常に高額で、自由診療の場合は100万円~300万円以上が目安となります。
ただし、前述したように、噛み合わせや発音に著しい機能障害を伴う「顎変形症」と診断された場合は、この外科矯正治療に健康保険が適用される唯一のケースです。 デメリットは、体への負担が非常に大きいこと、入院が必要であること、そして術後の腫れや麻痺などのリスクが他の治療法に比べて格段に高いことです。
ガミースマイルの原因別 治療法と費用相場早見表(目安)
| 主な原因 | 原因別の主な治療法 | 費用相場(目安) | 備考(特徴や期間など) |
|---|---|---|---|
| 筋肉の問題 | ボトックス注射 | 1万円 ~ 5万円(1回) | ・手軽・効果は一時的(約3~6ヶ月) |
| 筋肉の問題 | 上唇粘膜切除術 | 20万円 ~ 30万円 | ・後戻りのリスクがある・傷跡は外から見えない |
| 歯茎の問題 | 歯冠長延長術(歯肉切除) | 1万円 ~ 5万円(/本) | ・永続的ではなく後戻りのリスクもある・切除する歯の本数で総額が変わる |
| 歯茎の問題 | 歯槽骨整形術(歯冠長延長術を含む) | 上顎全体目安25万円〜40万円 | ・効果は永続的・治療する歯の本数で総額が変わる |
| 歯の問題 | 矯正治療 | 50万円 ~ 100万円以上 | ・歯並びも同時に改善・治療期間が長い(約1.5年~3年) |
| 骨格の問題 | 上顎骨切り手術(外科矯正) | 100万円 ~ 300万円以上 | ・根本的な改善が期待できる・入院が必要・顎変形症診断なら保険適用の場合あり |
ガミースマイル治療の費用は、その原因によって1万円台から数百万円台まで大きく変動します。
原因は主に「筋肉」「歯茎」「歯(歯並び)」「骨格」の4つに分けられます。筋肉が原因ならボトックス注射(1万円~)や上唇粘膜切除術(20万円~)、歯茎が原因なら歯冠長延長術(5万円~/本)が選ばれます。歯槽骨を整える本格的な歯冠長延長術(歯槽骨整形術を含む)治療を行う場合は上顎全体で25万円〜40万円程度の費用が目安となります。
歯並びが原因の場合は矯正治療(50万円~)、骨格が原因の場合は上顎骨切り手術(100万円~)が適応となり、費用も高額になる傾向があります。
これらはあくまで目安です。原因が複数組み合わさっている場合も多いため、まずは歯科医師による正確な診断を受け、ご自身に最適な治療法と費用を確認することが重要です。
逆ガミースマイルのお悩みご相談ください
LINE友だち登録で無料相談医学的にきちんと治そうガミースマイル
ガミースマイル治療の費用はなぜ歯科医院によって違うのか
治療法を調べていくと、同じ「歯冠長延長術」や「上唇粘膜切除術」でも、歯科医院によって提示される費用に幅があることに気づくでしょう。
「なぜこんなに値段が違うの?」と疑問に思うのは当然です。自由診療であるガミースマイル治療の費用は、医院ごとに異なる理由があります。その背景を知ることは、あなたが納得して治療先を選ぶ上でとても重要です。
治療費用に差が出る3つの理由 設備・技術・材料の違い

ガミースマイル治療の費用が歯科医院によって異なるのには、大きく分けて3つの理由があります。
第一に、「設備」の違いです。
例えば、骨格や歯茎の状態を三次元的に詳細に把握できる「歯科用CT」や、手術の精度を格段に高める「マイクロスコープ(歯科用顕微鏡)」、痛みを抑えて精密な切除が可能な「レーザー機器」など、高度な診断や治療を行うための設備投資は、治療費に反映されます。これらの設備が整っていることで、より安全で正確、かつ仕上がりの美しい治療が期待できます。
第二に、「技術」の違いです。
これは、執刀する歯科医師の経験や技術力、専門知識(例えば矯正専門医、口腔外科専門医など)だけでなく、連携する歯科技工士(被せ物などを作る専門家)の技術力も含みます。精度の高い治療を提供するためには、医師もスタッフも日々研鑽を積む必要があり、その技術料が費用に含まれています。
第三に、治療に使用する「材料」の違いです。
例えば、矯正治療で使う装置の種類(目立ちにくい高品質なセラミックブラケットや、最新のマウスピース装置)、手術で使用する縫合糸や薬剤、被せ物治療が必要な場合のセラミックの品質など、使用する材料の原価も費用に影響します。 これらの要素が複合的に絡み合い、各歯科医院の治療費用が設定されています。
医師の経験や実績は治療費用にどう影響する?
治療費用を左右する大きな要因の一つが、担当する歯科医師の「経験と実績」です。
ガミースマイル治療は、非常に繊細な技術と美的センスが要求される分野です。特に手術や矯正治療は、数ミリ単位のズレが仕上がりの満足度を大きく左右します。 豊富な経験を持ち、年間多くの症例を手掛けている歯科医師は、様々なケースに対応できるノウハウを持っています。常に最新の知識や技術を学び続けている歯科医師は、それだけ高度な治療を提供できる可能性が高いと言えます。
逆に、費用が相場より極端に安い場合は、経験の浅い医師が担当するケースや、流れ作業的な治療になっている可能性もゼロではありません。もちろん、費用が高ければ必ず良い治療が受けられるというわけではありませんが、医師の経歴や所属学会、症例数などを確認することは、治療の質と費用が見合っているかを判断する上での重要な指標となります。
逆ガミースマイルのお悩みご相談ください
LINE友だち登録で無料相談医学的にきちんと治そうガミースマイル
顔全体のバランスを考慮した治療とは 費用以上の価値

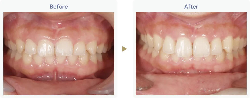
私がガミースマイル治療を行う上で最も大切にしているのは、「単に歯茎が見えなくなること」をゴールにするのではなく、「お顔全体のバランスの中で、最も魅力的な笑顔を創り出すこと」です。
ガミースマイルに悩む方は、歯茎に意識が集中しがちですが、美しい笑顔というのは、歯茎、歯の形や色、唇の形、そしてそれらが鼻や目、顔の輪郭とどう調和しているか、というトータルバランスで決まります。
例えば、歯茎を切除する(歯冠長延長術)だけでも歯茎は見えにくくなりますが、もし歯並びにも問題がある場合、それだけでは理想の笑顔にはならないかもしれません。その場合は、矯正治療を組み合わせることで、歯並びと歯茎の両方にアプローチし、より理想的なバランスを追求できます。
このように、科学的根拠に基づき、お顔全体のバランスを見ながら、矯正治療、外科治療、修復治療(セラミックなど)といった複数の選択肢を最適に組み合わせて「最高のスマイル」を生み出すこと。これこそが、専門性の高い歯科医院が提供できる「費用以上の価値」だと考えています。
単に「安いから」という理由で治療法を選ぶのではなく、ご自身の理想の笑顔について、医師としっかりビジョンを共有できるかどうかも、クリニック選びの重要なポイントです。
逆ガミースマイルのお悩みご相談ください
LINE友だち登録で無料相談医学的にきちんと治そうガミースマイル
治療費用を比較する際の注意点
いくつかの歯科医院でカウンセリングを受け、治療法の提案と見積もりをもらうと、いよいよ比較検討の段階に入ります。
しかし、単純に提示された金額の「数字」だけを見て決めてしまうのは危険です。費用を比較する際には、その金額に何が含まれていて、何が含まれていないのか、詳細をしっかり確認する必要があります。後から「こんなはずじゃなかった」と後悔しないための注意点をお伝えします。
確認すべきは総額 検査料や追加料金の内訳
治療費用を比較する際、最も注意すべき点は「提示された金額が『総額(トータルフィー)』なのかどうか」です。
例えば、「ガミースマイル手術 20万円」と提示された場合、その金額に何が含まれているかを詳細に確認する必要があります。 チェックすべき項目は以下の通りです。
ガミースマイル治療費用の見積もりチェックリスト
| 確認項目 | 具体的な内容例 | チェックポイント | |
|---|---|---|---|
| 事前の検査・診断料 | レントゲン、CT撮影、歯型採り、口腔内写真撮影など | 提示された金額に含まれているか? 別途必要か? | |
| 麻酔料 | 局所麻酔、静脈内鎮静法(リラックス麻酔)など | 治療費に含まれているか? オプション料金か? | |
| 手術・処置料 | 実際の手術費用、治療そのものの費用 | これが基本の治療費となることが多い | |
| 術後の薬代 | 抗生剤、痛み止め、うがい薬など | 治療費に含まれているか? 院外処方で別途必要か? | |
| 術後の検診・処置料 | 抜糸、消毒、経過観察のための通院費用など | 治療完了までの検診費用は含まれているか? | |
特に矯正治療の場合は、「毎月の調整料」や「保定装置(後戻りを防ぐ装置)料」が別途必要なのか、それとも全てコミコミの「総額制」なのかによって、最終的に支払う金額が数十万円単位で変わってくることもあります。
一番安い見積もりに見えても、後から次々と追加費用が発生し、結果的に他院より高くなってしまうケースもあります。
必ず「治療開始から完了までに必要なすべての費用」の見積もりをもらい、内訳を明確にしてもらうようにしましょう。
カウンセリング料や検査料は別途必要?

ガミースマイル治療を検討する際、まずは複数の歯科医院でカウンセリングを受けることをお勧めします。
しかし、この「カウンセリング」や「検査」にかかる費用も、医院によって様々なので注意が必要です。 歯科医院によっては、「初回カウンセリング無料」を謳っているところも多くあります。これは、患者さんのお悩みを聞き、ガミースマイル治療について、考えられる治療法やおおまかな費用を説明する、といった内容が一般的です。
しかし、より具体的な治療計画を立てるために必要な「精密検査」(レントゲン、CT撮影、歯型採り、口腔内写真撮影など)については、別途費用(数千円~数万円程度)がかかることがほとんどです。
カウンセリング当日に「より詳しく調べるために検査も受けませんか?」と勧められることもありますし、検査と診断(治療計画の説明)がセットで有料となっている場合もあります。 「無料相談」だと思って行ったら、検査や診断で費用が発生した、ということもあり得ます。
費用を比較検討する段階で余計な出費をしないためにも、カウンセリングを予約する際に、「どこまでが無料で、どこからが有料になるのか」「精密検査を受ける場合の費用はいくらか」を事前に電話やホームページで確認しておくと安心です。
逆ガミースマイルのお悩みご相談ください
LINE友だち登録で無料相談医学的にきちんと治そうガミースマイル
ガミースマイル治療の費用負担を抑える方法
ガミースマイル治療は自由診療のため費用がかさみがちです。少しでも金銭的な負担を軽くしたいと考えるのは当然のことです。ここでは、治療費の負担を軽減するために知っておきたい制度や支払い方法を解説します。賢く利用することで、治療へのハードルが少し下がるかもしれません。
医療費控除は使える? 対象となる治療と申請方法
「医療費控除」とは、1年間に支払った医療費が一定額(通常10万円)を超えた場合に、税金の一部が戻ってくる制度です。
重要なのは「治療の目的」です。原則として、美容・審美目的の治療(ボトックス注射、見た目の改善のための歯肉切除など)は、医療費控除の対象外となります。
一方で、ガミースマイルの原因が噛み合わせの異常(例:過蓋咬合)にあり、その「機能的な問題を改善するため」に矯正治療が必要だと歯科医師が診断した場合は、対象となる可能性が高いです。また、「顎変形症」と診断された外科矯正治療も対象となります。
医療費控除を受けるためには、ご自身で「確定申告」を行う必要があります。対象になるか分からない場合でも、治療にかかった費用の領収書や交通費の記録は、必ず全て保管しておきましょう。
デンタルローンや分割払いの賢い利用法
主な支払い方法の比較
| 支払い方法 | 特徴 | 注意点・補足 |
|---|---|---|
| 現金一括 | シンプルな支払い | 一度に全額を支払う必要がある |
| クレジットカード | ポイントが貯まる。分割・リボ払いも可能 | 分割・リボ払いの場合は金利に注意 |
| デンタルローン | 歯科治療専用のローン。金利が比較的低め。長期分割が可能(例:60回払い) | 契約手続きが必要。審査あり |
矯正治療や外科手術など費用が高額になる場合、歯科医院が提携する「デンタルローン」や「分割払い」を利用するのも賢い選択肢の一つです。
デンタルローンは歯科治療専用のローンで、クレジットカードの分割払いよりも金利が低めに設定されていることが多く、支払い回数も長期(例:60回以上)で設定できるのが特徴です。これにより、月々の支払い負担を数千円~数万円程度に抑えながら、希望する治療をスタートできます。
カウンセリングの際に、ご自身に合った無理のない支払い計画を遠慮なく相談してみましょう。
モニター募集で費用を抑えるメリットとリスク

歯科医院によっては、ホームページやSNSに掲載する症例写真を集める目的で、「治療モニター」を募集していることがあります。
最大のメリットは、治療費用が通常よりも大幅に割引されたり、場合によっては無料で治療を受けられたりする点です。費用面で治療をためらっている方には大きなチャンスとなるでしょう。
ただし、モニターには必ず「条件」があります。最も一般的なのは「症例写真の提供」です。お口の中だけでなく、お顔全体の写真(ビフォーアフター)が、医院のホームページやInstagram、TikTokなどに掲載されることに同意する必要があります。「顔出し」が必須となるケースも多いです。 費用を抑えられるメリットは大きいですが、ご自身の写真や情報が公開されることへの抵抗感はないか、契約内容を十分に確認してから応募するようにしましょう。
逆ガミースマイルのお悩みご相談ください
LINE友だち登録で無料相談医学的にきちんと治そうガミースマイル
まとめ 中野デンタルクリニックが伝えたい費用の考え方
ガミースマイル治療の費用について、様々な角度から解説してきました。 治療法によって費用が大きく異なること、そしてその費用には、歯科医院の設備や医師の技術、使用する材料など、様々な要素が反映されていることをご理解いただけたかと思います。
費用を比較検討する際、どうしても「安い」という言葉に目が行きがちです。しかし、ガミースマイル治療は、あなたの大切なお顔の印象、そしてこれからの人生の「笑顔」に関わる、とてもデリケートな治療です。
私が常々お伝えしているのは、「費用」だけで判断するのではなく、「価値」で判断してほしいということです。 その治療は、あなたの悩みの根本的な原因を解決してくれるものか。その歯科医師は、あなたの理想の笑顔について、真剣に耳を傾け、お顔全体のバランスを考えた最適な提案をしてくれるか。そして、提示された費用は、その治療の質や、術後の安心のサポートに見合ったものか。
安い費用を選んだ結果、満足のいく結果が得られなかったり、後戻りして再治療が必要になったりしては、かえって時間も費用も無駄になってしまいます。 まずは、ご自身のガミースマイルの原因を正確に知ること。そして、複数の選択肢のメリット・デメリット、そして費用について、包み隠さず丁寧に説明してくれる、信頼できる歯科医師を見つけること。 それが、あなたが「費用以上の価値」を手に入れ、自信に満ちた最高の笑顔で毎日を過ごすための、一番の近道だと私は信じています。
逆ガミースマイルのお悩みご相談ください
LINE友だち登録で無料相談医学的にきちんと治そうガミースマイル
ガミースマイルの治療費用に関するよくある質問
ガミースマイル治療の費用に関して、患者様から特によくいただくご質問にお答えします。
>ガミースマイル治療法別の費用相場と特徴
>顔全体のバランスを考慮した治療とは 費用以上の価値





