どんなガミースマイルでも治ります
どんな逆ガミースマイルでも治ります
写真を送付するだけで無料診断
LINE友だち登録で無料診断
ガミースマイル・逆ガミースマイルの治療法を動画で解説
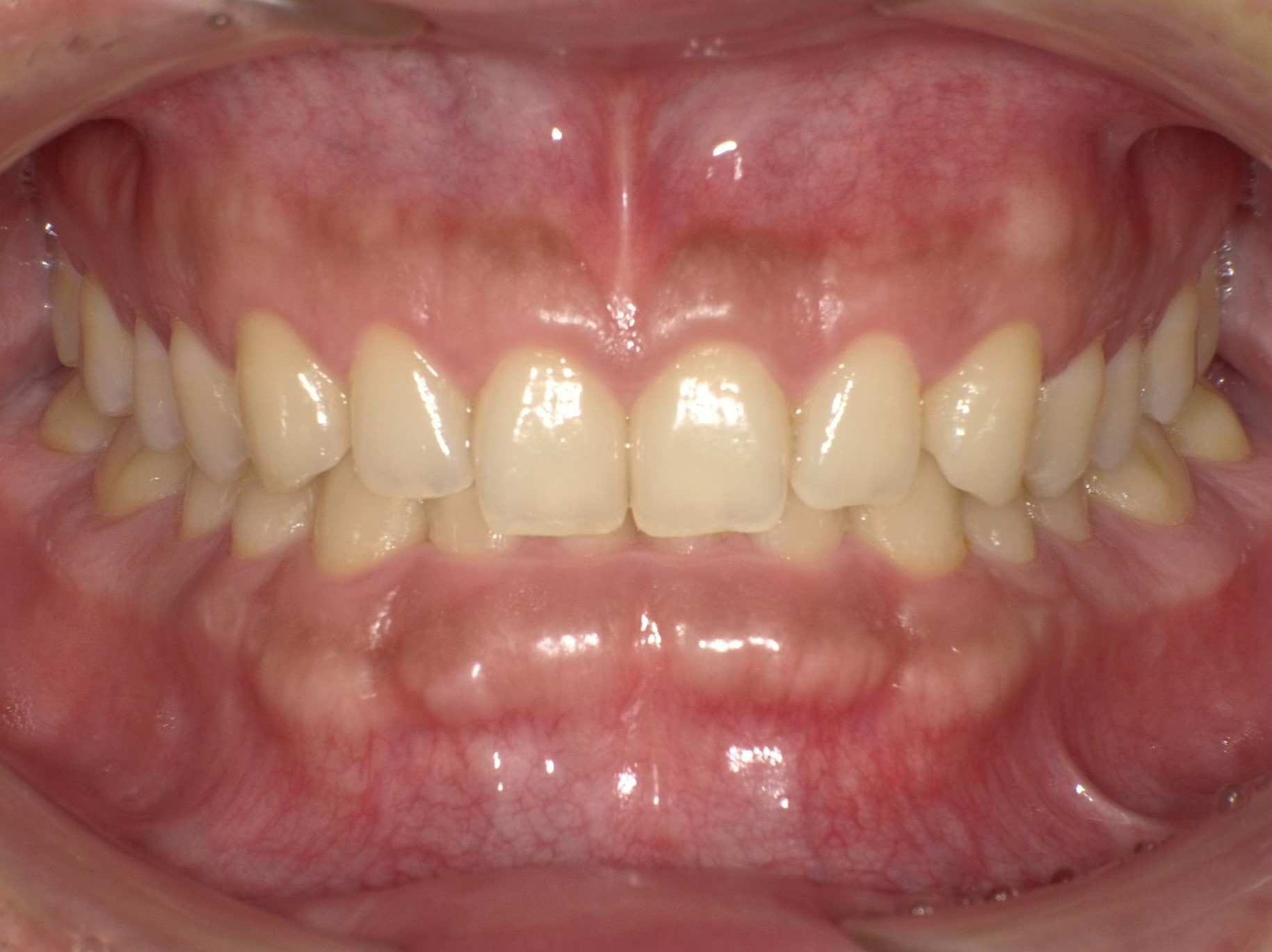
ガミースマイルとは
ガミースマイルというのは、笑った時に上顎の歯茎部分が多く見える口元のことを指して言います。
ガミースマイルの原因は?
ガミースマイルになる原因にはいくつかありますが、多くの場合、 骨格や歯が原因となります。
その他、上唇自体に問題がある場合、歯茎自体に問題がある場合なども稀にみられます。原因となる場所によって治療方法も異なります。
歯が原因
出っ歯や歯が長い場合など・矯正治療+インプラントアンカースクリュー
・セラミック(当院の矯正治療について http://www.nakano-dental-kyousei.com/ )
唇が原因
・粘膜切除術 (治療方法②)
・上唇拳筋切除術
・ボットクス注射
骨が原因
上あごの骨が大きい場合、歯茎の内部の骨が分厚く出っぱっている場合など
・歯槽骨整形術 (治療方法①)
・骨切り治療
写真を送付するだけで無料診断
LINE友だち登録で無料診断
逆ガミースマイルとは
逆ガミースマイルとは、笑った際に上の歯がほとんど見えず、下の歯茎が目立つ状態を指します。
逆ガミースマイルの原因は?
上の歯が見えにくい「逆ガミースマイル」に悩む方も少なくありません。遺伝や骨格要因、歯の摩耗、歯並び・噛み合わせの異常など、さまざまな要因で引き起こされ、治療法も原因により異なります。
遺伝・歯並び・骨格的要因
歯並びや上顎の発育不全や下顎の突出など、骨格の問題で上の歯が隠れてしまう場合があります。
・矯正治療
・外科的手術
過去に抜歯矯正を受けている
歯のアーチが小さくなるので、歯が見えにくくなっていることがあります。
・再矯正治療
・セラミック治療
骨切り手術を受けている
上顎の骨を切り過ぎている場合に歯が見えなくなってしまうことがあります。
・矯正治療(再矯正治療も含む)
・セラミック治療
ガミースマイル治療方法・手術の種類

ガミースマイルの原因の種類により最適な治療法や手術の種類が違います。 当院では3D診断でガミースマイルの原因を正しく診断して、最も適した治療法を提案させていただきます。
①歯並びが原因の場合
歯の矯正については3Dソフトにより最適な治療法と治療計画を作成します。マウスピース矯正か、アンカースクリュー矯正が必要か、またはその組み合わせが必要なのかを3D診断結果に応じて判断します。3D診断では、矯正治療開始時から終了までの間、歯がどのように移動していくのかを確認して頂くことができます。
②歯茎や骨が原因の場合
歯茎にそってメスを入れ、歯茎や骨を削ります。
歯冠長延長術・歯槽骨整形術
歯槽骨整形は歯肉だけではなく骨も整えることで歯肉の後戻りを防ぎます。
歯の境目と骨との距離を確認します。
骨を削って整えます。
縫い合わせ1~2週間後に抜糸します。
2週間程度で歯ブラシが可能です。
歯肉整形
歯肉整形は時間も費用も抑えられますが、歯肉が後戻りする可能性があります。

麻酔をして歯肉をセラミック器具で削ります。(電気メスで切除する方法もございます。)
2~3日後には歯ブラシが可能です。

③唇が原因の場合
上唇の裏側と歯茎の間の距離が長いため、その距離を上唇粘膜切除術で短くします。口の中の施術ですので傷痕もわかりません。
-
A:上唇の内側と歯茎の粘膜を摘除 B:4~5mm
-
C:縫合
-
D:歯茎の露出範囲
④ボトックス治療について
当院ではガミースマイルの根本的に治す治療を行なっておりますので、ボトックス治療に関しては提供しておりません。
料金
- 歯茎や骨が原因の場合
- 330,000円(税込)
- 唇が原因の場合
- 220,000円(税込)
- 歯茎や骨と唇が原因の場合
- 550,000円(税込)
- 歯並びが原因の場合
- 矯正治療
45万円〜100万円(治療期間や治療内容によって変わります。)
その他の費用
カウンセラーによる説明・ご相談は、無料です。検査(顔写真・口腔内写真・口腔内スキャン・歯型採取・CT・セファロ)と3D診断に基づく医師による説明は、1万円(+税)です。
治療の流れと治療期間
1無料カウンセリング
カウンセラーが、ガミースマイル治療に関する一般的なご質問にお答えします。 (費用:無料)
2検査
写真(顔・口腔)、パノラマレントゲン、CT (骨の厚み)、セファロ(歯の上下的前後的一の位置の診査)、歯型採取・歯周ポケットの計測を行います。3Dで全貌を明らかにして、矯正治療が必要なのか、外科手術だけで治療できるのか、あるいは治療法の組み合わせが必要なのかを判断します。
3医師によるご説明(アセスメント)
医師によるご説明です。検査により収集した情報を分析し(検査費用:約1万円)、治療方法・回数・費用などをご説明します。
※手術前に、歯列矯正や治療が必要な場合もあります。かぶせものをしている場合や、セラミックをされる場合も、来院回数がかわります。
4手術(2回目来院時)
歯並びに原因がある場合は、手術の前に矯正治療から行います。
ガミースマイルの原因が「歯茎や骨が原因の場合」は歯茎にそってメスを入れ、歯茎や骨を削ります。(費用:約30万円)「唇が原因の場合」は上唇の裏側と歯茎の間の空間が広いため、その空間を密着させます。口の中の施術ですので傷痕もわかりません。(費用:約20万円)
2つの治療を行う場合は約50万円となります。
※初回の無料カウンセリングから手術まで約1か月間のイメージです。
5抜糸(術後、約2週間程度)
抜糸を行い、状態のチェックを行います。
6最終確認(術後約2か月~3か月)
治療後の最終確認を行います。
治療期間の目安
- 1~3は同日に行うことができます。
- 1~5は、1か月程度かかります。
- 6は、手術から2~3か月後に行います。
ガミースマイルの
症例写真
歯冠長延長術
| 診断 | 歯並びと歯の位置関係は問題ないが、歯の長さが短い |
|---|---|
| 治療内容 | 歯茎を開いて歯を支えている骨を整え、歯の長さを調整する歯冠長延長術を選択 |
| 費用/治療期間 | 30万(税抜き)/2週間~8週間※歯茎のタイプによって期間には個人差があります。 |
| 注意点 | ①歯ブラシは抜糸が終わるまでNGとなります。 ②腫れは1週間ほどですが、歯の根元が少し染みることがあります。 ③患者様によって術式を変えるため、術前に詳細にカウンセリングを行います。 |
※患者様の状態により個人差があるため、詳しくはLINEにてご相談ください。
歯肉整形術
| 診断 | 歯茎が厚い。歯並びと歯の位置関係は問題ないが、歯の長さが短い |
|---|---|
| 治療内容 | 麻酔をして歯肉の厚い部分を電気メスでカットする。 |
| 費用/治療期間 | 2万(税抜き)/1日(治るまでに2~3日) ※歯茎のタイプによって期間には個人差があります。 |
| 注意点 | ①当日のみ歯ブラシがしづらいことあります。 ②腫れ・出血はほぼありません。 |
※患者様の状態により個人差があるため、詳しくはLINEにてご相談ください。
| 診断 | 歯茎が厚い。歯並びと歯の位置関係は問題ないが、歯の長さが短い |
|---|---|
| 治療内容 | 麻酔をして歯肉の厚い部分を電気メスでカットする。 |
| 費用/治療期間 | 2万(税抜き)/1日(治るまでに2~3日) ※歯茎のタイプによって期間には個人差があります。 |
| 注意点 | ①当日のみ歯ブラシがしづらいことあります。 ②腫れ・出血はほぼありません。 |
※患者様の状態により個人差があるため、詳しくはLINEにてご相談ください。
写真を送付するだけで無料診断
LINE友だち登録で無料診断矯正治療
| 診断 | 歯列不正による軽度なガミースマイル |
|---|---|
| 治療内容 | 3Dマッチングによるマウスピース矯正。歯の移動のみで改善できると判断していたので、装着時間を厳守していただいた。 |
| 費用/治療期間 | 55万(税抜き)/12か月 ※歯茎のタイプによって期間には個人差があります。 |
| 注意点 | 毎日決められたマウスピースの装着時間を守ってください。 |
※患者様の状態により個人差があるため、詳しくはLINEにてご相談ください。
| 診断 | 歯列不正による軽度なガミースマイル |
|---|---|
| 治療内容 | 3Dマッチングによるマウスピース矯正。歯の移動のみで改善できると判断していたので、装着時間を厳守していただいた。 |
| 費用/治療期間 | 55万(税抜き)/8か月 ※歯茎のタイプによって期間には個人差があります。 |
| 注意点 | 毎日決められたマウスピースの装着時間を守ってください。 |
※患者様の状態により個人差があるため、詳しくはLINEにてご相談ください。
矯正治療+外科治療
| 診断 | 上顎前突と歯冠長が短い重度のガミースマイル |
|---|---|
| 治療内容 | 3Dマッチングによるマウスピース矯正+歯冠長延長術+歯槽骨整形術。マウスピース矯正でできる限り上顎前歯を後方に移動させて骨の厚みを出してから骨整形を行う。 |
| 費用/治療期間 | 矯正治療:50万+外科治療:30万(税抜き)/1年 ※歯茎のタイプによって期間には個人差があります。 |
| 注意点 | ①毎日決められたマウスピースの装着時間を守ってください。 ②歯ブラシは1週間は控えてください。 |
※患者様の状態により個人差があるため、詳しくはLINEにてご相談ください。
| 診断 | 上顎前突と歯冠長が短い重度のガミースマイル |
|---|---|
| 治療内容 | 3Dマッチングによるマウスピース矯正+歯冠長延長術+歯槽骨整形術。マウスピース矯正でできる限り上顎前歯を後方に移動させて骨の厚みを出してから骨整形を行う。 |
| 費用/治療期間 | 矯正治療:55万+外科治療:30万(税抜き)/1.5年 ※歯茎のタイプによって期間には個人差があります。 |
| 注意点 | ①毎日決められたマウスピースの装着時間を守ってください。 ②歯ブラシは1週間は控えてください。 |
※患者様の状態により個人差があるため、詳しくはLINEにてご相談ください。
上唇粘膜切除術

| 診断 | セファロレントゲンで前歯の位置は正しいことが確認できたため、上唇粘膜切除のみで患者様の要望を解決できると判断 |
|---|---|
| 治療内容 | 上唇を8mmおろす対応として上唇粘膜切除を選択 |
| 費用/治療期間 | 20万(税抜き)/4週間 |
| 注意点 | ①歯ブラシは抜糸が終わるまでNGとなります。 ②腫れは2週間ほどですが、患者様によってはスマイルラインをより自然な形にできる様にを口角を上げる練習が必要になる場合があります。 ③ 口を大きく上げて笑ってしまうと、傷口が開き、再縫合をしなければいけない場合があります。抜糸までの期間は、極力口を大きく開けて笑わないようお願いします。 |
※患者様の状態により個人差があるため、詳しくはLINEにてご相談ください。
写真を送付するだけで無料診断
LINE友だち登録で無料診断
逆ガミースマイルの
症例写真
セラミック治療
| 診断 | 自然に笑えないが、歯並びは良い状態。 |
|---|---|
| 治療内容 | 前歯8本をセラミックで修復。歯を見せて自然に笑えるようになった。 |
| 治療期間 | 3か月 |
| 診断 | 笑った時に上の歯が全くみえない。前歯にすでにセラミック入っている。奥歯はインプラントですでに修復されている |
|---|---|
| 治療内容 | 下の前歯の歯並びを矯正治療で少しなおしてから上のセラミックを修復。笑ったときに前歯が見えるようになった。 |
| 治療期間 | 1年 |
※患者様の状態により個人差があるため、詳しくはLINEにてご相談ください。
| 診断 | 笑っても全くはが見えない 見えるようになりたい。前歯に1本被せ物がある。 |
|---|---|
| 治療内容 | 前歯6本修復 1本はインプラント。歯が自然に見えて歯の形、色も理想的な状態になった。 |
| 治療期間 | 6か月 |
※患者様の状態により個人差があるため、詳しくはLINEにてご相談ください。
矯正治療
| 診断 | 歯並びは悪くないが、笑っても上の歯が全くみえない状態 |
|---|---|
| 治療内容 | 矯正治療のみで全体のかみ合わせを治しながら、上の前歯を下に降ろす。前歯が見えるように自然に笑えるようになった。 |
| 治療期間 | 2年 |
※患者様の状態により個人差があるため、詳しくはLINEにてご相談ください。
| 診断 | 上下の歯がやや内側に向いていて、笑っても全く上の歯が見えない |
|---|---|
| 治療内容 | 内側傾斜の上下の歯を少し立てて、上の前歯を降ろす。上の歯がしっかり見えて自然に笑えるようになった |
| 治療期間 | 1年 |
※患者様の状態により個人差があるため、詳しくはLINEにてご相談ください。
| 診断 | 上の歯がやや内側に傾斜していて、力を入れないと歯が見えるように笑えない |
|---|---|
| 治療内容 | 上の前歯が見えるようにやや前方に傾斜させながら、前歯を少し降ろす。自然に笑えるようになった |
| 治療期間 | 1年 |
※患者様の状態により個人差があるため、詳しくはLINEにてご相談ください。
ガミースマイル治療を受けた患者様の声
ガミースマイル治療を受けた患者様の声をまとめさせていただきました。治療を受ける際に参考にしてください。
インタビュー動画
ガミースマイル治療のインタビュー動画です。ガミースマイルを治療しようと思うきっかけや治療にあたってのシミュレーション・当院を選んでいただいた理由などお話いただきました。
患者様の声
ガミースマイル治療を行った患者様からアンケートをいただきました。
当院の治療を受ける前の方は、ご参考までにご確認いただければ幸いです。
ガミースマイルに関するよくある質問
1つ目に外科的アプローチを行う場合、歯冠長延長術や上唇粘膜切除術
2つ目に矯正的アプローチを行う場合、ワイヤー矯正とマウスピース矯正
どちらか1つで改善するケースもあれば、2つのアプローチを駆使してガミースマイル治療を行うこともあります。
歯の生えている位置が低い
上顎骨が過剰に発達している
・遺伝・歯並び・骨格的要因
歯並びや上顎の発育不全や下顎の突出など、骨格の問題で上の歯が隠れてしまう場合があります。
・過去に抜歯矯正を受けている
歯のアーチが小さくなるので、歯が見えにくくなっていることがあります。
・骨切り手術を受けている
上顎の骨を切り過ぎている場合に歯が見えなくなってしまうことがあります。
それぞれの原因に合わせて治療を行う必要があります。
ガミースマイル治療のリスクと注意点
ガミースマイル治療ではまれに下記症状が起きる可能性や注意点がございます。
必ずご確認の上、治療を進めてください。
ガミースマイル治療のリスク
- 歯を動かす場合、まれに歯の根が短くなったり、歯肉が下がったりすることがあります。
- 一般的な矯正治療を行う場合、矯正治療中、噛み合わせが変化するため、稀に顎関節に音が鳴ったり痛みが出る場合があります。
- 歯根と骨が癒着していると歯が動かないことがあります。
ガミースマイル治療の注意点
CT検査やセファロ撮影、口腔内スキャンなどの検査がない状態ではガミースマイルの治療を行うことはやめてください。
ガミースマイル治療は正しく治療を行わないと、本質的な改善につながりません。
近年では、「矯正治療しかできない」「外科手術しかできない」といった医師が多くおります。
偏った単独の治療方法ではガミースマイルの治療が完治できない恐れがございます。
当院では矯正治療と外科手術の知見を活かし、患者様の笑顔の写真と歯や顎の骨の画像を3Dで重ね合わせて分析しています。
この方法は他の医院では行っておらず、この方法を行うのは当院だけです。
現在考えられる治療方法の中で医学的に最も安全でこれを行うことで矯正治療後に歯冠長延長術や歯槽骨整形術などの歯周外科処置が必要かどうかが予想できます。
そのため、ワイヤー矯正だけでは完全にきれいにはできません。
LINE無料診断のご案内
当クリニックではLINEから無料診断を受け付けております。
ガミースマイルに悩んでいるけど、相談できる人がいないという方は、当院までお気軽にご連絡ください。
経験豊富な医師がお悩みにお応えします。
-
ご相談・無料診断
当クリニックのLINEのトークルームを開きます。そちらにご相談と診療を希望される方の歯茎の状態を確認できるお写真をお送りください。お写真はこちらを参考に撮影ください。
※ご返信は当クリニックの受付時間内での対応となります。
※混み具合によりご返信に数日程度、お時間いただく場合がありますので予めご了承願います。
-
ご予約
ご予約はLINE(トークルーム)又はお電話にて承ります。
LINEの無料診断を受けられた際ご予約いただくか、下記の番号へお電話ください。
03-5318-0550
[受付日時]
月~金:9:00~13:00/14:30~17:30
土曜日:9:00~17:00
-
ご来院(検査・カウンセリング)
ご来院いただきましたら、改めてガミースマイルの状態を確認し、治療方法をお伝えいたします。
※カウンセラーによる説明・ご相談は、無料です。
検査(写真・プロービング・パノラマ・CT・セファロ)と診断に基づく医師による説明は、1万円(+税)です。
※LINE無料診療でお伝えした治療内容は、検査・カウンセリングにより変わる場合がありますので予めご了承願います。
アクセス
〒165-0026 東京都中野区新井2-1-1 ランドコープビル2F、5F、6F
JR中野駅北出口から徒歩4分
写真を送付するだけで無料診断
LINE友だち登録で無料診断
ガミースマイルのお役立ちコラム
-
ガミースマイル逆ガミースマイル治療の費用【完全ガイド】。治療法別の費用相場と歯科医院選びの注意点
更新日: -
ガミースマイルガミースマイル治療の費用【完全ガイド】。治療法別の費用相場と歯科医院選びの注意点
更新日: -
ガミースマイル【専門医が徹底解説】ガミースマイルを改善する治療法「歯冠長延長術」ガイド
更新日:



















